22.02.2014
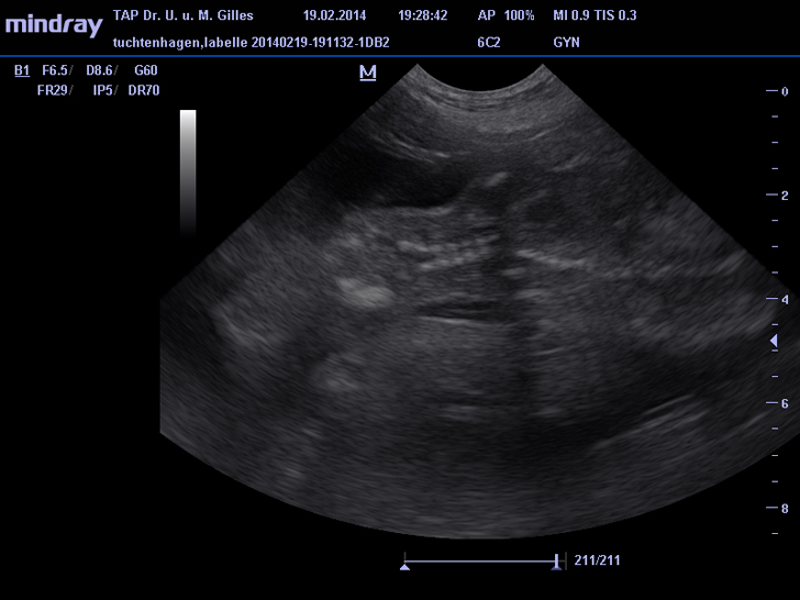
Neuer Ultraschall vom 19.02.2012 (42. Tag):
Alle kleinen Hunde-Embryos leben und haben sich prächtig entwickelt.
ZZt. sind sie schon ca. 7 cm groß.


07.02.2014
Ultraschall läßt 9 Welpen erwarten!
Endlich ist es soweit, wir haben Gewissheit: unsere Labelle ist tragend.
In der Ultraschalluntersuchung vom 5.2.2014 lassen sich die Anlagen von 9 Welpen erkennen.
Alle, soweit so früh schon beurteilbar, normal weit entwickelt.
Nächste Woche gibt's dann nochmal neue aktuelle Ultraschallbilder.


|